Operations

total hip replacement | total knee replacement | knee arthroscopy

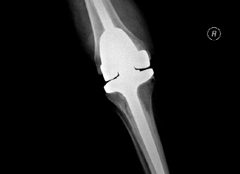
Total Knee Replacement

xray of a successful Total Knee ReplacementIn knee replacement surgery (arthroplasty) a damaged, worn or diseased knee is replaced with an artificial joint. There are two main types of surgery, depending on the condition of the knee: total knee replacement and half (partial) knee replacement. It is an effective procedure that reduces pain and improves quality of life. Materials used for replacing the joint are strong and durable but also optimal for joint function as they produce as little friction as possible.

The artificial joint or prosthesis generally has two components, one made of metal which is usually cobalt -chrome or titanium. The other component is a plastic material called polyethylene. The procedure has been proven to help individuals return back to moderately challenging activities such as golf, bicycling, and swimming. Each operation takes approximately 60-70 minutes to perform. It can be performed with general anaesthesia or regional anaesthesia (spinal or epidural).

Patients recover from surgery at different rates, but on average a 5 day stay in hospital is required.

After Surgery

After Surgery recovery recommendations

 

Useful Links

NHS Guide to Total Knee Replacement

NHS Choices Total Knee Replacement Introduction

American Academy of Orthopdaedics Guide to Total Knee Replacement

BUPA Fact Sheet